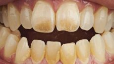
Храната од која пожолтуваат забите
Храната која содржи шеќер и киселина, како природните и газирани сокови, овошјето и зеленчукот како што се цвекло,...
Храната која содржи шеќер и киселина, како природните и газирани сокови, овошјето и зеленчукот како што се цвекло,...
Флекситеријанство се смета за најголем тренд во исхраната за оваа година. Како што наговестува и самото име, станува...
Иако гледање порнографија во многу земји е легално по 18. година, многу деца имаат пристап до содржините за возрасни....
Охрид повторно трча со на нов настан со стара цел подигање на свестноста за постоењето на ретките болести. На 8...
Штетниот вирус кој може да предизвика оштетување на мозокот кај бебињата би можел да се користи за лечење на ракот...
Штетниот вирус кој може да предизвика оштетување на мозокот кај бебињата би можел да се користи за лечење на ракот...
Шуто Оризари е само една од општините низ Македонија во која жените немаа пристап до матичен гинеколог. Со одлука...
Истражувањето кое го спровеле португалски научници се покажало дека свеста за храната за време на конзумирањето...
Од денеска родителите во сите 17 породилишта во државата имаат можност изводот на своето бебе да го добијат уште...
Ако немате големи проблеми со линијата, но сепак, мора да се борите со целулитот, со задржување на течностите и...
Здружението на граѓани за ретки болести „Живот со предизвици“ ја продолжува традицијата на учество на искачувањето...
Американското биро за храна и лекови (ФДА) го одобри првиот медицински третман за редизајнирање на имуниот систем...
Скопското Јавно обвинителство поднесе обвинителен акт против гинекологот, кој во периодот од месец септември...
Македонското здравство ги имаше најцрните 10-тина дена во својата историја. Немаше ден, а да не се објавеше податок...
Доколку ве мачи крвниот притисок, дефинитивно мора да ги промените навиките во исхраната и пред се да го намалите...
Црниот дроб е најголемиот цврст орган во човековото тело, задолжен за повеќе различни функции. Некои од основните...
Доколку имате проблеми со Константни болки во рамената, посетете доктор бидејќи таквата болка би можела да укажува...
Начинот на исхрана, секојдневните стресови, алкохолот и тутунот, но и генетиката, се фактори кои влијаат на настанувањето...
Една од најчестите болести или моментални болки, кое се појавуваат на нашата кожа се темните кругови. Тие се причина...
Денес почина д-р Јанко Канчевски, едно од големите имиња на македонската медицинска историја, познат хирург, специјалист...