Уапсениот бил српски државјанин, а необично било тоа што шверцерот допатувал во Белград од Мозамбик, а не како досегашната практика, криумчарите да доаѓаат од Јужна Америка.
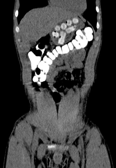
Уапсениот веднаш бил однесен во болница за да му бидат извадени пакетчињата со дрога кои ги проголтал во Африка. Шверцерите кои на ваков начин пренесуваат дрога се нарекуваат „муле“, и се во состојба да ја носат дрогата во стомак и по неколку дена. На тој начин можат да пренесат и до килограм дрога. Уапсениот немал кривично досие во Србија.
Republika.mk - содржините, графичките и техничките решенија се заштитени со издавачки и авторски права (copyright). Крадењето на авторски текстови е казниво со закон. Дозволено е делумно превземање на авторски содржини (текст и фотографии) со ставање хиперлинк до содржината што се цитира.


